TC21 钛合金固溶时效处理对合金强韧化性能的影响

米 磊1,2,张晨辉1,2,何忝锜1,2,和 蓉1,2,樊江昆3,薛祥义1,2,3

(1.西安超晶科技股份有限公司,陕西西安 710200;2.陕西省先进金属结构材料精确热成形重点实验室,陕西西安 710200;3.西北工业大学凝固技术国家重点实验室,陕西西安 710072)

摘 要:本文研究了TC21 钛合金经两相区固溶处理快速冷却后,合金显微组织、室温拉伸性能及室温冲击性能随时效制度的变化规律。研究表明,TC21 钛合金在两相区进行固溶处理时快速冷却后,随着时效时间的延长,合金组织中初生α 相尺寸增大,但抗拉强度有所下降,塑性变化不明显。随着时效温度的升高,合金组织中的初生α 相尺寸增大,合金的强度明显下降,塑性提高。TC21 钛合金在两相区固溶处理快速冷却下,通过900 ℃保温120 min、水冷(WC),600 ℃保温360 min、空冷(AC)的热处理工艺,可使合金具有最佳的强度和塑性匹配。

关键词:TC21 钛合金;热处理;拉伸性能;断裂韧性

钛合金因其比强度高、密度低、耐腐蚀性和耐高温等特点,成为飞机和发动机的重要结构材料。随着航空航天事业的迅速发展,飞行器结构材料对高强高韧钛合金材料的需求日益紧迫,因此损伤容限型钛合金受到了更加广泛关注,成为航空结构钛合金的重要发展方向。美国开发的Ti-6-22-22S 是一种强度在1 100 MPa 的损伤容限型钛合金材料,其已经在第四代战斗机F-22 上得到了应用。中国自主研制的TC21 钛合金材料与Ti-6-22-22S 强度相当,因其优异的综合力学性能,已在宇航领域得到大量使用。TC21 合金的名义成分为Ti-6Al-2Mo-1.5Cr-2Zr-2Sn-2Nb,其合金相变点为(955±10)℃,室温抗拉强度可达1 050~1 100 MPa,断裂韧性可达70 MPa·m1/2[1-14]

为了进一步改善合金的力学性能和工艺性能,TC21 合金需要进一步热处理改善合金显微组织。西安建筑科技大学牛蓉蓉[15]研究发现,热处理后的冷却速率对组织有很大的影响,无论是β 相区热处理或是两相区热处理,初生α 相含量随着固溶处理冷却速度的降低而增加,β 转变组织含量变化则相反。说明固溶热处理时随着冷却速率的增加,合金组织中形成的亚稳相数量增加,在随后的时效过程中可析出的次生α 相数量及弥散分布程度增加,导致合金的强度提高,塑性下降。西北工业大学王义红等[16]研究发现TC21 合金的显微硬度依赖于时效温度和时效时间,时效时间延长,合金显微硬度先迅速增大,达到最大值后再逐渐减小。时效温度升高时,合金显微硬度达到最大值的时间缩短,且合金最终的显微硬度随时效温度的升高而降低。燕山大学张启飞等[17]研究了近β 型钛合金Ti55531 时效处理对合金微观组织演变规律及合金在拉伸变形时的断裂机制。结果表明,次生片层αs 相对时效参数变化比初生α 相更敏感,其厚度与时效温度或时效时间呈线性正相关。可以看出,目前研究关于TC21 合金固溶和时效处理的目的是在牺牲材料一部分塑性的情况下提升材料强度,然而由于TC21 合金显微组织演变的复杂性,缺少关于固溶和时效处理对力学性能的系统性研究[18-19]。本文通过将TC21 钛合金在两相区进行固溶处理后,快速水冷,并研究不同时效温度、时效时间对TC21 钛合金组织和性能的影响。旨在探究出最佳热处理制度,实现TC21 合金强韧性的良好匹配,从而为实际加工生产提供数据支撑和指导。

1 实验方法

实验采用的TC21 钛合金棒材,合金成分见表1。经金相法测得的相变点为960~965 ℃,合金下料后按照表2 的热处理制度进行整体热处理后取样,进行力学性能及显微组织试验。力学性能表征主要是通过测量其拉伸及冲击性能。拉伸性能试样是按照GB/T 228-2002[20]的要求加工的标准R7 试样,试验在INSTRON 型电子万能试验机上进行,拉伸速率为0.45 mm/min。冲击性能的测定采用缺口冲击试验,按照GB/T 229-2020[21]的要求加工为10 mm×10 mm 的标准冲击试样并开“U”型缺口,在冲击试验机上完成冲击试验。显微组织、拉伸断口观察分别是在OLYNPUS/PMG3 型光学显微镜、JMS-6700 型扫描电子显微镜上完成。

表1 TC21 钛合金化学成分
Tab.1 Chemical composition of TC21 titanium alloy

表2 TC21 钛合金热处理试验方案
Tab.2 Heat treatment test plan for TC21 titanium alloy

2 实验结果及讨论

2.1 时效时间对合金组织和性能的影响

2.1.1 显微组织

图1 为900 ℃×120 min,水冷处理后,600 ℃不同时效时间处理的合金显微组织。可以看出随着时效时间的延长,合金显微组织中的初生α 相的尺寸变化不大,在光学显微镜下未观察到明显的次生α 相。

图1 经过900 ℃×120 min 固溶处理后,600 ℃下不同时效时间TC21 合金的显微组织:(a)240 min,(b)360 min,(c)480 min
Fig.1 Microstructure of TC21 alloy with different aging time at 600 ℃after 120 min of solid solution treatment at 900 ℃:(a)240 min,(b)360 min,(c)480 min

2.1.2 室温力学性能

图2~3 为时效时间对合金强度、塑性的影响规律,其中Rm 为抗拉强度、Rp0.2 为屈服强度、A 为伸长率、Z 为断面收缩率。图4 为时效时间对合金冲击性能的影响规律,其中KU2 为冲击功,aku 为冲击韧性。

图2 时效时间对合金强度的影响
Fig.2 Effect of aging time on the strength of alloy

图3 时效时间对合金塑性的影响
Fig.3 Effect of aging time on the plasticity of alloy

图4 时效时间对合金冲击性能的影响
Fig.4 Effect of aging time on the impact performance of alloy

由图2~4 可以看出,合金分别经240、360、480 min时效处理,240 min 时效处理后,合金的强度达到最高,而延长时效时间至360 min,合金的强度有所降低,继续延长时效时间,合金的强度变化不大。由此可知,合金在240~480 min 时效时,360 min 时效时合金抗拉强度最低为1 423 MPa,伸长率为9.5%、断面收缩率为26.5%,但合金的冲击韧性较低为17.5 J/cm2

对于双相钛合金来说,时效过程就是在固溶处理时产生的亚稳定相,按一定的方式分解,析出细小弥散的次生α 相,从而起到弥散强化的效果[22]。一般来说,合金时效处理时如果不超过时效峰的情况下,随着时效时间的延长,合金的强度应该会有所升高,从上述结果可以看到,时效时间为240 min时合金的强度最高可以达到1 468 MPa,但伸长率和断面收缩率为7%和20%。因此延长时效时间至360 min 可以在强度降低的情况下提高合金的塑性。

2.2 时效温度对合金组织和力学性能的试验结果

2.2.1 显微组织

图5 为固溶处理后,不同时效温度下合金的显微组织。可以看出,随着时效温度升高,从600 ℃时效开始,合金中的次生α 相有了明显长大,时效温度越高,这种长大效果越明显。

图5 经过900 ℃×120 min 固溶处理后,360 min 下不同时效温度TC21 合金的显微组织:(a)560 ℃,(b)580 ℃,(c)600 ℃,(d)620 ℃,(e)640 ℃,(f)660 ℃
Fig.5 Microstructure of TC21 alloy at different aging temperatures for 360 min after 120 min of solid solution treatment at 900 ℃:(a)560 ℃,(b)580 ℃,(c)600 ℃,(d)620 ℃,(e)640 ℃,(f)660 ℃

2.2.2 室温力学性能

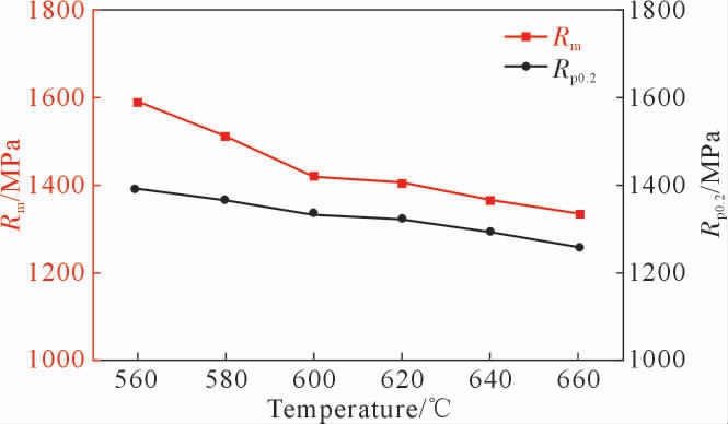
由图6~8 可以看出,随着时效温度的升高合金的强度逐渐下降,从1 592 MPa 降至1 334 MPa,合金的伸长率明显提高从3.5%上升至12%。经900 ℃×120 min,水冷,660 ℃×360 min,空冷处理后,合金强度仍保持在1 300 MPa 以上,同时合金的伸长率和断面收缩率均保持在较高水平。对于双相钛合金来说,组织中次生α 相的含量和尺寸对其性能有着重要的作用。600 ℃以下进行时效处理时,合金中次生α 相长大的驱动力不够,次生α 相细小且弥散分布,有助于提高合金强度,而600 ℃以上进行时效处理时,合金中的次生α 相明显长大、粗化,合金的强度较高。继续提高时效温度,合金强度下降较缓慢。

图6 时效温度对合金强度的影响
Fig.6 Effect of aging temperature on the strength of alloy

图7 时效温度对合金塑性的影响
Fig.7 Effect of aging temperature on the plasticity of alloy

图8 时效温度对合金冲击性能的影响
Fig.8 Effect of aging temperature on the impact performance

2.3 合金断口分析

金属材料的韧性和脆性,是根据一定条件下的塑性变形量来规定的,一般规定光滑拉伸试样的断面收缩率小于5%为脆性断裂。反之,大于5%则为韧性断裂[23]。图9 中4 种热处理制度的合金断面收缩率均大于5%,合金断口表现为韧性断裂的特征,断口有一定的缩颈,且断口上存在大量的韧窝。4 种热处理制度下的合金虽然都为韧性断裂,但因塑性不同,表现出不同的断口特征。由此可知,随着合金强度的提高,塑性下降,合金断口的缩颈现象表现得越不明显。

图9 不同时效制度下宏观拉伸断口:(a)560 ℃×360 min,(b)580 ℃×360 min,(c)600 ℃×360 min,(d)600 ℃×480 min
Fig.9 Macroscopic tensile fracture surface under different aging treatments:(a)560 ℃×360 min,(b)580 ℃×360 min,(c)600 ℃×360 min,(d)600 ℃×480 min

合金通过第二相强化的方式进行强化时,当塑性变形发展到一定程度,第二相质点本身破裂,或与基体脱离形成微孔,大量微孔聚集便形成了韧窝。从图10 可以看出,合金强度较高时,其起到强化作用的第二相密度越大,其韧窝小且较浅。随着合金强度的提高,合金拉伸断口上的韧窝明显变小且变浅[18]

图10 不同时效制度下拉伸断口:(a)560 ℃×360 min,(b)580 ℃×360 min,(c)600 ℃×360 min,(d)600 ℃×480 min
Fig.10 Tensile fracture surface at 2 000×magnification under different aging treatments:(a)560 ℃×360 min,(b)580 ℃×360 min,(c)600 ℃×360 min,(d)600 ℃×480 min

3 结论

(1)TC21 钛合金在600 ℃下不同时效时间热处理时,240 min 时效时合金强度最高至1 468 MPa,但伸长率和断面收缩率仅为7%和17%;延长时效时间至360 和480 min 时合金的强度有所下降,360 min 时合金抗拉强度最低为1 423 MPa,伸长率及断面收缩率可以达到9.5%、26.5%。

(2)TC21 钛合金在360 min 不同时效温度下热处理时,随时效温度提高,合金强度明显下降,伸长率明显提高,主要是由于合金中起强化作用的次生α 相随时效温度的提高明显长大、粗化,强化作用下降。

(3)合金经900 ℃保温120 min、水冷,600 ℃保温360 min、空冷处理时其强度和塑性匹配效果最佳。

(4)TC21 钛合金在两相区固溶处理快速冷却时,时效处理后合金断口均表现出塑性断裂的断口特征,随着强度的提高合金断口上的韧窝越来越浅且较小。

参考文献:

[1] 费玉环,周廉,曲恒磊,等.两相区热处理对TC21 钛合金显微结构的影响[J].稀有金属材料与工程,2007,36(11):1928-1932.FEI Y H,ZHOU L,QU H L,et al.Effects of heat-treatments on microstructures of TC21 titanium alloy[J].Rare Metal Materials and Engineering,2007,36(11):1928-1932.

[2] 朱知寿,王新南,童路,等.新型TC21 钛合金热处理工艺参数与显微组织演变的关系研究[J].钛工业进展,2006,23(6):24-27.ZHU Z S,WANG X N,TONG L,et al.Study on the relationship between heat treatment process parameters and microstructures evolvement of new type TC21 titanium alloy[J].Titanium Industry Progress,2006,23(6):24-27.

[3] 陈学伟,张士宏,王忠堂,等.热处理工艺对TC11 钛合金组织及性能的影响[J].金属热处理,2007,32(10):48-51.CHEN X W,ZHANG S H,WANG Z T,et al.Effects of heat treatment conditions on microstructure and mechanical properties of TC11 titanium alloy[J].Heat Treatment of Metals,2007,32(10):48-51.

[4] 郭为,孙明先,邱日,等.材料深海自然环境腐蚀实验研究进展[J].腐蚀科学与防护技术,2017,29(3):313-317.GUO W,M,SUN M X,QIU R,et al.Research progress on corrosion and aging of materials in deep-sea envionment[J].Corrosion Science and Protection Technology,2017,29(3):313-317.

[5] 杨健,王新南,秦锋英,等.高强韧TC21 钛合金在大飞机上的应用技术研究[Z].陕西省,中航工业第一飞机设计研究,2016-12-02.YANG J,WANG X N,QIN F Y,et al.Research on the application technology of high strength and toughness TC21 titanium alloy on large aircraft[Z].Shaanxi Province,AVIC The First Aircraft Institute,2016-12-02.

[6] 熊熠,肖国强.不同热处理工艺对TC21 钛合金组织及力学性能的影响[J].铸造技术,2015,36(3):638-640.XIONG Y,XIAO G Q.Effect of heat treatment on microstructure and mechanical properties of TC21 titanium alloy [J].Foundry Technology,2015,36(3):638-640.

[7] 党薇,薛祥义,寇宏超,等.TC21 钛合金慢速冷却过程中的相组成及组织演化[J].航空材料学报,2010,30(3):19-23.DANG W,XUE X Y,KOU H C,et al.Phase and microstructure of TC21 titanium alloy during slow cooling[J].Journal of Aeronautical Materials,2010,30(3):19-23.

[8] 冯亮,曲恒磊,赵永庆,等.TC21 合金的高温变形行为[J].航空材料学报,2004,24(4):11-13.FENG L,QU H L,ZHAO Y Q,et al.High temperature deformation behavior of TC21 alloy[J].Journal of Aeronautical Materials,2004,24(4):11-13.

[9] 曹晓卿.显微组织对TC11 钛合金机械性能的影响[J].太原理工大学学报,2001,32(1):61-63.CAO X Q.The effect of microstructure on the mechanical properties of TC11 alloy[J].Journal of Taiyuan University of Technology,2001,32(1):61-63.

[10] 金和喜,魏克湘,李建明,等.航空用钛合金研究进展[J].中国有色金属学报,2015,25(2):280-292.JIN H X,WEI K X,LI J M,et al.Research progress of titanium alloy in aerospace industry[J].The Chinese Journal of Nonferrous Metals,2015,25(2):280-292.

[11] 蔡建明,王洋,曾凡昌,等.我国航空钛合金材料及锻件的研究与发展(下)[J].锻造与冲压.2020(17):47-49.CAI J M,WANG Y,ZENG F C,et al.Research and development of Ti-alloy and its forging for aircraft industry in China(2/2)[J].Forging&Metalforming,2020(17):47-49.

[12] 朱知寿,商国强,王新南,等.航空用钛合金显微组织控制和力学性能关系[J].航空材料学报,2020,40(3):1-10.ZHU Z S,SHANG G Q,WANG X N,et al.Microstructure controlling technology and mechanical properties relationship of titanium alloys for aviation applications[J].Journal of Aeronautical Materials,2020,40(3):1-10.

[13] 陶成,崔霞,欧阳德来,等.TC21 钛合金锻后热处理α 片层的球化及强化增塑机理[J].金属热处理,2023,48(8):138-143.TAO C,CUI X,OUYANG D L,et al.Mechanism of α lamellae spheroidization and strengthening plasticization of TC21 titanium alloy after post forging heat treatment[J].Heat Treatment of Metals,2023,48(8):138-143.

[14] 王哲,刘程程,李海宾.TC21 钛合金网篮组织特征对力学性能的影响研究[J].中国材料进展,2023,42(8):657-661.WANG Z,LIU C C,LI H B.Influence of basket microstructure characteristics on mechanical properties of TC21 titanium alloy[J].Materials China,2023,42(8):657-661.

[15] 牛蓉蓉.热处理冷却速率对TC21 钛合金组织与性能的影响[D].西安:西安建筑科技大学,2010.NIU R R.Effect of heat treatment cooling rate on the structure and properties of TC21 titanium alloy[D].Xi'an: Xi'an University of Architecture and Technology,2010.

[16] 王义红,寇宏超,朱知寿,等.冷却速率对TC21 合金相变行为的影响[J].航空材料学报,2010,30(1):6-10.WANG Y H,KOU H C,ZHU Z S,et al.Influence of cooling rate on phase transformation of TC21 alloy[J].Journal of Aeronautical Materials,2010,30(1):6-10.

[17] 张启飞,杨帅,刘书君,等.时效处理对Ti55531 钛合金微观组织演变规律及力学性能的影响[J].稀有金属材料与工程,2022,51(7):2645-2653.ZHANG Q F,YANG S,LIU S J,et al.Effect of aging treatment on microstructure evolution and mechanical properties of Ti55531 titanium alloy[J].Rare Metal Materials and Engineering,2022,51(7):2645-2653.

[18] 胡生双,孟晓川,王清,等.双重退火工艺对TC21 钛合金力学性能和断口形貌的影响[J].金属热处理,2020,45(5):110-114.HU S S,MENG X C,WANG Q,et al.Effect of double annealing process on mechanical properties and fracture morphology of TC21 titanium alloy[J].Heat Treatment of Metals,2020,45(5):110-114.

[19] 龙玮.多级热处理对TC21 钛合金组织及强韧性的影响[D].贵州:贵州大学,2020.LONG W.Influence of multi-stage heat treatment on microstrucure and strengthing-toughning of TC21 titanium alloy[D].Guizhou:Guizhou University,2020.

[20] 全国钢标准化技术委员会.金属材料室温拉伸试验方法:GB/T 228-2002[S].北京:中国标准出版社,2002.National Steel Standardization Technical Committee.Metallic materials-Tensile testing at ambient temperature: GB/T 228-2002[S].Beijing:Standards Press of China,2002.

[21] 全国钢标准化技术委员会.金属材料 夏比摆锤冲击试验方法:GB/T 229-2020[S].北京:中国标准出版社,2020.National Steel Standardization Technical Committee.Metallic materials —Charpy pendulum impact test method: GB/T 229-2020[S].Beijing:Standards Press of China,2020.

[22] 张颖楠,赵永庆,曲恒磊,等.热处理对TC21 合金显微组织和室温拉伸性能的影响[J].稀有金属,2004,28(1):34-38.ZHANG Y N,ZHAO Y Q,QU H L,et al.Effect of heat treatment on microstructure and tensile properties of TC21 alloy[J].Rare Metals,2004,28(1):34-38.

[23] 束德林.工程材料力学性能[M].北京:机械工业出版社,2016.SHU D L.Mechanical properties of engineering materials[M].Beijing:China Madine Press,2016.

Effect of Solid Solution and Aging Treatment on the Strength and Toughness of TC21 Titanium Alloy

MI Lei1,2,ZHANG Chenhui1,2,HE Tianqi1,2,HE Rong1,2,FAN Jiangkun3,XUE Xiangyi1,2,3
(1.Xi'an Chao Jing Technology Co.,Ltd.,Xi'an 710200,China;2.Shaanxi Key Laboratory of Advanced Metal Structural Materials Precision Thermoforming,Xi'an 710200,China;3.State Key Laboratory of Solidification Processing,Northwestern Polytechnical University,Xi'an 710072,China)

Abstract:The effects of aging temperature and time on microstructure,room temperature tensile properties and impact properties of TC21 titanium alloy after rapid cooling in two-phase field solution treatment were investigated and discussed.The results show that the size of primary α phase increases with the increase of aging time,but room temperature tensile strength decreases,and the plasticity has no obvious change.The size of primary α phase and the plasticity increases with the increase of aging temperature,but room temperature tensile strength decreases obviously.TC21 titanium alloy can achieve the best strength and plasticity matching through the heat treatment process of 900 ℃insulation for 120 min followed by water cooling (WC),and 600 ℃insulation for 360 min followed by air cooling (AC) under the rapid cooling of two-phase solid solution treatment.

Key words:TC21 titanium alloy;heat treatment;tensile properties;toughness

中图分类号:TG146.23

文献标识码:A

文章编号:1000-8365(2023)10-0929-06

DOI:10.16410/j.issn1000-8365.2023.3225

收稿日期:2023-08-30

基金项目:国家自然科学基金(51801156)

作者简介:米 磊,1984 年生,硕士.主要从事稀有有色金属材料的加工成形方面的工作.Email:milei3040111067@163.com

引用格式:米磊,张晨辉,何忝锜,等.TC21 钛合金固溶时效处理对合金强韧化性能的影响[J].铸造技术,2023,44(10):929-934.

MI L,ZHANG C H,HE T Q,et al.Effect of solid solution and aging treatment on the strength and toughness of TC21 titanium alloy[J].Foundry Technology,2023,44(10):929-934.